Raşitizm-Kemik Zayıflığı Nedir ?
Raşitizm,D vitami noksanlığı sonucu gelişen kemiğin mineral içeriğinin azalmasıyla karakterize bir hastalıktır.Anneden alınan D vitamini çocukta 2 ay kadar vücutta depolandığından genellikle ilk aylarda hastalık belirtileri pek görülmez.
Raşitizm Belirtileri Nelerdir ?
Raşitizm belirtileri hızlı büyüyen iskelet kısımlarında daha belirgindir.Başlangıçta en hızlı baş büyüdüğünden belirtiler önce burada,dördüncü aydan sonra göğüs kafesinde,altıncı aydan sonra kol ve bacaklarda daha belirgindir.Kafa kemikleri yumuşayarak bazı bölgelerin parmak uçlarının bastırılması ile ping pong topu gibi içeri çöktüğü hissedilir.Başta çeşitli şekil bozuklukları görülebilir.
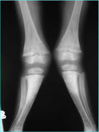
Süt dişlerinin çıkışı gecikebilir.Kaburgaların kemik-kıkırdak birleşme yerlerinde kabartılar oluşur.El bileklerinde genişlemeler gözlemlenebilir.
Göğüs kafesinde ve omurgada şekil bozuklukları görülür.Bu çocukların oturma ve yürümeleri gecikir.Yürüdükleri zaman ”O Bacak” veya ”X Bacak” denilen eğilmeler olur.Terleme ileri derecede artmış olu başın arka kısmındaki saçlarda seyrekleşme dikkati çeker.Vücudun enfeksiyonlara karşı direnci de düşük olduğu için üst solunum yolu hastalıkları ve zatürre sık görülür.Süt çocuklarında kandaki kalsiyum düşüklüğü,bazen bebeğin havale geçirmesine neden olabilir.
Raşitizmden Korunma Yolları Nelerdir ?
Raşitizmden korunmak için,15,günden başlayarak sağlıklı bebeklere en az 2 yıl süre ile günde 400 ünite D vitamini verilmesi yararlıdır.D vitamini güneş ışınlarının etkisi ile deride sentez edilen bir vitamin olduğu için bebeklerin güneşlendirilmesi büyük önem taşımaktadır.Bunun için bebeğin yüz ve ellerinin günde yarım ile bir saat,haftada en az 2 gün güneşlendirilmesi yeterlidir.
Cam ultraviyole ışınlarını engellediği için cam arkasından güneşlendirmenin bir faydası yoktur.
Raşitizm Tedavi Yöntemleri Nelerdir ?
Doktor tarafından raşitizm teşhisi konan bebeklere verilen depo D vitamini ( Kemik İğnesi) bilinçsiz olarak birkaç kez kullanılırsa zehirlenmelere yol açabilir.O neden doktor tavsiyesi olmadan bu tür iğelerin kullanılması sakıncalıdır.